畸胎瘤

  • 卵巢畸胎瘤致抗N-甲基-D-天冬氨酸受体脑炎患者麻醉管理1例(文章)

    卵巢畸胎瘤致抗N-甲基-D-天冬氨酸受体脑炎患者麻醉管理1例
    作者:刘琦,万玉文,郴州市第一人民医院麻醉科 抗N-甲基-D-天冬氨酸受体(anti-N-methyld-aspartatereceptor,NMDAR) 脑炎 是自身免疫性脑炎(Autoimmuneencephalitis,AE)中的一种,约占AE患者的
    2023-08-07
  • 脊髓栓系综合征术后会复发吗(视频)

    脊髓栓系综合征术后会复发吗
    脊髓栓系综合征一部分原因是单纯的脊髓栓系综合征,即终丝低位和脊髓低位,其中还合并一些先天脂肪瘤,包括脂肪粘连情况。另一种情况是合并肿瘤,对于单纯脊髓栓系患者,在显微镜下电生理监测下找到终丝,把终丝切断以后病人手术以后效果好,手术以后不会复发。但合并脊髓脂肪瘤时,因为脂肪瘤的神经包括血管和脊髓圆锥部分融为一体,显微镜下分离不开,手术切除不彻底,手术以后容易复发。 还有一种情况,当脊髓栓系合并先天性肿瘤,包括胆脂瘤和畸胎瘤,因为胆脂瘤、畸胎瘤外膜实际上即神经结构的一部分,有一些在神经电生理监测下有其生理功能,手术完全切除以后患者会出现大小便障碍加重。 为保全功能,将手术中的肿瘤内容物完全彻底切净,手术以后囊壁存在,可能会导致复发。囊壁分泌内容物会形成占位或肿瘤,肿瘤复发对神经造成压迫,患者在手术后一定时间会出现新症状,这种情况下还可选择二次手术。 脊髓栓系综合征是因胚胎发育异常,造成脊髓圆锥包括马尾神经和骶管一些结缔组织增生、粘连所致。
    2023-08-02
  • 纵隔肿瘤是良性的还是恶性的(视频)

    纵隔肿瘤是良性的还是恶性的
    纵隔肿瘤是指两侧肺正中的位置,即心脏的位置,大气管、食管乃至大血管的位置。前边的肿瘤叫前纵隔肿瘤,在后边挨着脊柱内侧长出来的肿瘤叫后纵隔肿瘤,往往后纵隔肿瘤来源于神经系统或神经鞘系统,所以在后纵隔的肿瘤大部分是良性肿瘤,而在心脏前面的肿瘤可能品种繁多,如年轻人所得的多数是畸胎瘤,在胚胎发育过程中出现的肿瘤,而这种肿瘤大部分都是发育带来,所以肿瘤形态比较完整,有一定边界和包膜,甚至有牙齿、毛发,所以叫畸胎瘤,大部分是良性。但也有一少部分是胚胎发育,生殖系统带来的肿瘤,这种肿瘤来自于精原细胞,有一定的恶性程度,因为太年轻、太活跃,所出现的肿瘤也有恶性。 正常的前纵隔在人体发育过程中,12岁应该消失萎缩的器官是胸腺组织,若到成人还在生长,逐渐形成胸腺肿瘤,而胸腺肿瘤一部分长得不规则,不像乒乓球,而像土豆或生姜。这种情况下又有一部分是恶性,经过穿刺或手术切除发现属于极少数一部分,叫胸腺癌,所以病理完全是恶性的。纵隔肿瘤还有淋巴系统肿瘤,往往是恶性肿瘤,甲状腺肿坠到胸腔,又叫胸骨后甲状腺肿,往往这种肿瘤是良性肿瘤。如果跟大血管关系不密切,患者生活质量受影响,呼吸、心率受影响,同时长得很光滑,密切观察就可以。如果对周围组织产生一定压迫,要及时进行病理确诊、穿刺或手术,或微创手术活检,拿到病理以后进行综合的药物治疗、放疗,风险小的患者进行手术彻底根除即可。
    2023-08-03
  • 松果体区肿瘤能治好吗(视频)

    松果体区肿瘤能治好吗
    目前松果体肿瘤比较多见,根据肿瘤类型不同通常有以下几种情况:1、生殖细胞瘤:其中纯生殖细胞瘤是目前治疗效果比较理想的脑肿瘤之一,90%以上纯生殖细胞瘤可以通过手术、放疗、化疗达到治愈目的;2、混合生殖细胞瘤:可以混合多种肿瘤成分,如果是以纯生殖细胞瘤或成熟畸胎瘤成分为主,通过治疗可以达到较好的效果。如果以全身细胞瘤为主,通过放疗、化疗可以得到较好的治疗效果。如果是成熟期畸胎瘤为主,通过手术彻底切除,也可以达到较好的治疗效果;3、卵黄囊瘤:肿瘤成分不好,肿瘤手术后,复发快,放疗、化疗效果不敏感,通常治疗效果不理想;4、成熟畸胎瘤:松果体还有其他肿瘤,比较常见松果体区成熟畸胎瘤,通过手术彻底切除,可以达到较好的治疗效果;5、松果体母细胞瘤:这类肿瘤目前比较少见,通过手术技术结合放疗、化疗,松果体区细胞瘤治疗效果较好。因此松果体区肿瘤类型不同,治疗效果也不同,纯生殖细胞瘤或成熟畸胎瘤等治疗效果比较理想。
    2023-08-03
  • 肺肿瘤能治好吗(视频)

    肺肿瘤能治好吗
    肺部肿瘤预后取决于病人病情的分期以及肿瘤的恶性程度,具体情况如下:1、病情分期:一期、二期称为早期肿瘤,可以通过手术或者伽玛刀、质子刀完全消除,可以得到完全治愈。三期到四期称为中、晚期肺癌,部分病人不能手术,不能够切除病灶,意味着无法完全治愈。这时通过治疗可以有效延缓病人的无病生存期,也可以有效延长病人生存期,将疾病变成一种慢性病,通过治疗让病人能够有良好的生活;2、肿瘤恶性程度:如果是良性瘤比如畸胎瘤、错构瘤,可以通过手术或者不手术进行观察,可以得到长期生存。如果是恶性肿瘤,根据恶性程度的高低,治疗方法是否有效以及病人的分期,可能会完全治愈、部分治愈和慢性迁延。
    2023-08-02
  • 畸胎瘤手术最佳时间(视频)

    畸胎瘤手术最佳时间
    一旦确诊畸胎瘤,越早治疗越好。发现以后及时治疗,一般避开月经期,月经结束以后3-7天即为手术最佳时机。因为卵巢随月经改变出现变化,尤其排完卵以后会形成生理性黄体囊肿,因此确定畸胎瘤以后需要尽早选择微创手术。同时需要提前和医生预约,还需要评估手术风险,完善手术前各项检查,包括各项抽血指标,因此建议提前住院,与医生预约好时间。 畸胎瘤可以见于年轻女性,甚至无性生活的女性,此时建议如果无特殊不适,可以定期复查,每隔3-6个月复诊。如果存在性生活,有生育要求,建议怀孕前行微创手术处理卵巢畸胎瘤。年龄偏大甚至无生育要求的患者避开月经期,随时可以进行手术。
    2023-08-02
  • 畸胎瘤手术要多少钱(视频)

    畸胎瘤手术要多少钱
    一般畸胎瘤的高发年龄主要就是18-30岁的年龄段。随着女孩子一诞生,母亲就把瘤细胞给了孩子,受精卵逐渐长大的过程中,瘤细胞没有长大,放在女孩子体内,女孩子随着来月经,体内的雌、孕激素增加,刺激了瘤细胞生长,就长成了卵巢上的畸胎瘤,这个瘤细胞里有毛发、牙齿、头皮、脂肪。 患者可以查到肿瘤标志物CA125、CA199的升高,B超提示是非均质的包块,有实性成分、有强回声,基本确定是畸胎瘤。如果确定是畸胎瘤,一定是要手术的,随着年龄的增长,畸胎瘤还会受雌孕激素刺激,所以就必须要手术。 现在畸胎瘤手术推荐腹腔镜手术,腹腔镜下的畸胎瘤的剥除术的费用大约是5000元左右。随着医院的级别、地区差异,比如在北京妇产医院,做腹腔镜下的卵巢的畸胎瘤的剔除要10000元左右。现在不推荐做开腹,但有一种畸胎瘤是交界性的畸胎瘤,这种畸胎瘤特别大,直径超过了10cm,而且囊壁有一些血流信号,甚至有囊内实性成分乳头的形成,是介乎于良恶性之间的一种畸胎瘤。如果术前评估到,建议还是开腹做,价格也是10000元左右。
    2023-08-02
  • 儿童巨大胸腺增生误诊畸胎瘤1例(文章)

    儿童巨大胸腺增生误诊畸胎瘤1例
    作者:代学杨,胡晓丽,赵滨,天津市儿童医院 病例女,3岁。因咳嗽、咳痰半月收入院。查体:呼吸促,口周无发绀,胸廓对称,肋间隙无增宽及狭窄,双肺呼吸音粗,右肺呼吸音低
    2023-08-07
  • 卵巢囊肿怎样治疗最好(视频)

    卵巢囊肿怎样治疗最好
    卵巢囊肿的治疗方法如下: 1、若为排卵形成的生理性囊肿,可自行吸收消失,定期复查即可,不需要特殊处理; 2、若为生长迅速的囊肿,应警惕发生恶变的风险,及早进行手术切除; 3、因畸胎瘤易发生蒂扭转、破裂,造成剧烈腹痛,故应在医生指导下选择适合的治疗方案。若囊肿达5cm,可行腹腔镜下卵巢囊肿剥除术,不影响卵巢正常功能。
    2023-07-30
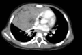
  • 纵隔畸胎瘤手术能治好吗(视频)

    纵隔畸胎瘤手术能治好吗
    纵隔畸胎瘤好发于前纵隔,大部分是良性肿瘤,也有少量是恶性肿瘤,但是恶性畸胎瘤非常少见。对于良性畸胎瘤来讲,手术切除率非常高,患者术后一般不会复发。 现在的手术方式可以选择做传统的开放性手术,也可以做通过胸腔镜下的微创手术,主要取决于肿瘤位置、大小及肿瘤与周围组织的关系。如果肿瘤太大,或者有周围重要组织的侵犯,用传统的开放性手术相对更安全。如果肿瘤相对偏小,可以选择微创性手术,或选择通过胸腔镜进行微创切除,从而达到手术切除的目的。对于良性畸胎瘤,手术效果比较好,基本上不会复发。
    2023-08-03