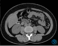
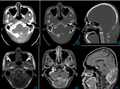
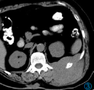
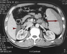
视频问答语音问答中医学科专家问答专家文章大众资讯养生之道 急性髓系白血病活多久39岁的男人性功能的标准头部不自主震颤是什么病自身免疫性肝病中西医结合治疗方法烟头烫伤瘢痕怎么办口咽癌放疗后的副作用肾上腺嗜铬细胞瘤影像学表现小细胞肺癌二期化疗方案为何只是左侧耳鸣治疗骨刺的草药有哪些特发性震颤仪器检查得出来吗视神经脊髓炎多久检查一次裂孔疝能自愈吗结肠癌手术后一直有下坠感怎么回事胆管癌术后吃什么食物肠癌能活多久宝宝阴囊小是什么原因47岁月经突然不来的可能原因疱疹神经痛怎么办,什么药有疗效嵌甲矫正器有什么危害祛眼袋术后出现眼睑外翻怎么办阴囊红肿疼痛用什么药膏口腔癌手术后怎么护理肺腺癌经过放疗好多了还会复发吗男生面部显老怎么办人工授精卵泡多大可以做ct结果一般多久出来颌骨促结缔组织增生性纤维瘤1例左脑供血不足的后果为什么颈椎病贴膏药后头晕打了除皱针多长时间可以做面部护理肺源性心脏病的X线表现黄栀子能去小儿黄疸吗做肠胃镜前注意事项房颤和早搏的区别急性支气管炎的鉴别方法肾穿刺后休息多长时间49岁女性血压正常范围食管癌晚期放疗对身体有什么影响甲状腺病理活检是怎么回事怎么算肠癌家族史肾移植之后多久出院肾移植患者可以吃葡萄吗检查子宫肌瘤月经前还是月经后好宫颈癌化疗期间吃什么好什么是儿童急性髓系白血病M7儿童脑肿瘤手术后多久可以上学宝宝荨麻疹如何治疗来月经期间能不能吃西瓜霜早孕胎心率多少正常腕管综合征手术要多长时间才能碰水骨结核挂什么科室视网膜裂孔必须手术吗Lee氏分级Ⅲ级能治好吗李防御五痔方有效吗葆宫止血颗粒几天止血脊髓肿瘤术后的恢复时间是多久?活检质韧是癌吗肝脏异位妊娠MR表现一例中医能治疗肺气肿吗心梗心电图的变化系统性红斑狼疮肌酐高怎么办跑步时胸闷头晕是什么情况17岁脚踝疼痛是什么原因绿姜的功效和作用面部吸脂术后要戴面罩吗心慌气短按什么穴位前列腺炎早泄的症状什么是耳后骨膜下脓肿心电监护仪的正常数值是多少直立性低血压有什么表现垂体瘤术后鼻子堵多久吃罗红霉素分散片能喝酒吗室性早搏治疗方法是什么头孢曲松钠是几代头孢原发性震颤与特发性震颤的区别胃息肉术后三天能喝奶粉吗染发过敏头皮起疙瘩怎么办射频消融治疗阵发性室上性心动过速效果如何每天喝绿茶能减肥吗食管癌不做手术只做放疗能好吗尿结石尿血是变严重了还是在排石腹膜炎为什么腹肌紧张甲状腺癌怎么治肛周脓肿如何判断轻重高龄人的脑膜瘤手术成功率胶质瘤化疗期间呕吐怎么办颈部血管彩超检查什么血精症不治疗会死人吗生锈的刀片割破手指要打破伤风吗胆石症的典型症状脑脓肿穿刺几天出院颅内动静脉畸形X刀治疗效果如何男性雄激素过高怎么调理23岁还遗精正常吗小儿自闭症怎么治好痤疮查激素六项有用吗肝母细胞瘤后期有多痛肿瘤病理几天出来结果滑膜炎可以打封闭针吗骨转移癌病人术后饮食应注意些什么跟骨骨刺疼痛怎么办骶管囊肿会不会大起来髋关节撞击症吃什么药髋关节置换术后能否完全蹲下皮瓣修复术是大手术吗打呼噜磨牙是什么原因鼻中隔偏曲手术后注意事项喉癌放疗后咳嗽痰多是怎么回事木瓜的作用及功能吃阿仑膦酸钠片浑身疼痛是怎么回事甲钴胺片饭前吃还是饭后吃空腹血糖9.2什么程度痛风能不能吃红枣感冒能不能吃海鲜下肢动脉硬化吃什么药月经初潮还能长多少打胎会导致不孕不育吗去骨火的中成药有哪些腰椎间盘突出刺血疗法管用吗苦参治湿疹效果怎么样茄子根煮水喝治疗咳嗽吗山楂降血压吗鼻炎怎样足底按摩肝性脑病如何诊治?2023新版指南发布!张文宏委员:社区医生是走出这波新冠疫情的关键力量甲状腺乳头状癌复发了怎么办脸抓伤后留下一条红色印多久能好支气管扩张大咯血怎么办血常规都正常但低烧怎么回事同房后头晕是什么原因早搏分为几种慢性肾炎患者需要控制豆浆摄入量吗肛周脓肿会自愈吗?一定要开刀吗?胰腺癌晚期腹水抽水后能活多久warthin瘤是怎么引起的呼吸性碱中毒有什么危害tct轻度炎症说明什么内脚踝疼痛的原因及治疗的方法是什么同型半胱氨酸正常范围唇腭裂术后应注意什么动脉导管未闭如何诊断?乳腺癌的转移途径是什么按什么穴位可以治好白内障怎么艾灸治疗肾虚干部“欺上瞒下”的心理分析代谢综合征需要做哪些检查确诊喝酒了能吃枸橼酸西地那非吗葡萄的营养价值及功效年轻人会得肺癌吗颈椎病引起的手麻是半边身吗氟烷类吸入麻醉药特点胆汁反流性胃炎吃啥药房颤做射频消融成功率咽喉痛,头痛是什么原因吃了普瑞巴林胶囊头晕想睡怎么办一米七的标准体重缺铁性贫血常见的原因尿毒症透析多久一次消化道出血后贫血如何补血颈部淋巴结核会咳嗽吗脑动脉硬化多发狭窄严重吗双侧颈动脉硬化伴斑块形成是什么意思头孢呋辛酯片是第几代小孩化脑脑炎怎么治疗慢性结肠炎会消瘦吗腹膜透析液有几种甲状舌骨囊肿术后会复发吗肺部多发小结节的原因IgA肾病可以怎么做鱼吃骨髓增生性疾病怎么治大便有血块像果冻一样是怎么回事不用化疗的胃癌容易复发吗胃癌手术后转移到盆腔怎么办怎么样才算肝癌家族史宝宝心脏房间隔缺损会长好吗尿结石一般是哪里疼肠梗阻会停止排气排便吗脑膜瘤3cm是长了多久的先天性脑积水能自愈吗头部微创手术住院几天全切膀胱癌手术后并发症创伤性窒息的护理措施大面积烧伤患者休克期补液原则前列腺癌晚期如何治疗肠癌中期的症状甲状腺手术刀口怎么保养肝腹水能治愈吗肝硬化腹水怎么利尿骶椎隐性脊柱裂严重吗男孩睾丸一大一小是怎么回事排卵期小腹坠胀的原因阴茎硬结症什么症状精子正常率3%能怀上吗女性子宫出血吃什么好宝宝发烧喘气急促怎么回事身上长了个肉疙瘩是怎么回事头发出油怎么回事肾脏肿瘤CT诊断方法化疗后甲胎蛋白升高表示无效吗壶腹周围癌的预后如何什么是颈动脉盗血综合征咬伤怎么快速消肿椎动脉颈椎病不宜锻炼吗头骨骨折怎么治疗髌骨脱位手术后需多长时间恢复正常行走埋线双眼皮后怎么快速消肿植发五个月正常的效果假体隆胸塑身衣要穿多久过敏性鼻炎吃什么调理肺结核会死人吗鼻腔的位置、结构及功能牙龈癌手术治疗的效果如何宝宝鳃裂囊肿怎么治疗滋肾育胎丸的作用与禁忌尿蛋白肌酐比值ACR计算公式缺钾挂什么科介入治疗后吃什么好膀胱癌灌注需要多长时间双眼皮全切后修复的方法原位癌包括哪些癌症12岁小孩服用舍曲林后的变化多动症药物哪种疗效好黄体酮对试管起什么作用做个脑部ct要多少钱拍核磁共振挂什么科1.5T核磁共振是什么意思黑豆红枣山药汤有什么功效宝宝积食萝卜水怎么煮枇杷果怎么煮水止咳全身麻醉气管插管后寂静肺紧急处理一例二尖瓣置换术后血小板计数下降 病因常被漏诊或迟诊宝宝发烧多久查血常规植物神经紊乱多久痊愈风湿病的特征治肾小球肾炎的药物肾囊肿伴囊内钙化还会长大吗肾结石病人能吃羊肉吗不完全性肠梗阻的护理措施胆管癌中晚期手术后能活多久手胳膊骨折多久后可锻炼活动脑震荡后遗症的表现有哪些?前列腺增生需不需要手术治疗甲肝和乙肝的区别是什么?如何训练格斗反应速度盘点那些“祖母级”的美容妙招老人如何佩戴老花镜老年人婚外恋的危害假体隆胸后不能吃的食物有哪些声带息肉症状吸入麻醉和静脉麻醉的区别咽鼓管开放能自愈吗,如果不能要怎么治疗动脉粥样硬化怎样锻炼双额叶皮层下多发缺血灶怎么回事重症肺炎的护理措施肺心病呼吸衰竭治疗肥胖挂什么科用激素引起肥胖怎么瘦下来如何确诊多囊肾儿童败血症治疗一般要多久隐血试验弱阳性怎么办好过敏性紫癜主要累及的部位有哪些口干口苦口臭吃什么药好吸烟能导致小儿哮喘吗登革热危险吗胸口有气上不来下不去怎么办垂体功能低下的症状频发室性早搏的症状表现骨髓干细胞移植是什么真性红细胞增多症饮食禁忌脂肪萎缩是怎么回事幽门螺杆菌弱阳性代表什么食道有异物感吞咽正常是怎么回事胃食管反流难受心情焦虑怎么办血小板正常范围是多少间质性肺疾病怎么诊断预激综合征心电图的表现颞叶癫痫手术后应注意什么血清总胆红素正常值肝癌核磁共振表现胶质瘤会不会复发痔核脱落要多久甲状腺恶性肿瘤要紧吗开水烫伤疼痛感会持续多久乳腺导管乳头状癌治疗的方法肛门外长个小肉疙瘩是怎么回事什么是脑疝破伤风皮试阳性表现儿童肠套叠怎么治疗肺鳞癌的晚期症状肺鳞癌与肺腺癌的区别脑颈部血管重度狭窄怎么治疗乳腺癌TC4个周期化疗方案宫颈炎患者怀孕能继续妊娠吗西地那非可以治疗性功能障碍吗甲癣如何治宫腔镜检查后多久可以怀孕拇指指甲凹陷是什么病贲门癌术后化疗方案脊膜瘤手术成功率骨折的基本X线表现腱鞘巨细胞瘤手术后注意事项右腿胫骨平台骨折怎么办脊椎损伤的症状髋关节发育不良诊断标准打了除皱针眼睛肌无力怎么办泪道堵塞激光手术疼吗掉的乳牙怎么长期保存化脓牙龈炎怎么治疗中期肝硬化治得好吗?脑海绵状血管瘤危险吗新生儿科和儿科的区别膀胱肿瘤术后尿血是怎么回事癌细胞扩散全身能活多久盐酸丁螺环酮片的副作用经期腹痛怎么缓解?风市的准确位置以额面部葡萄酒色样痣为表现的Sturge-Weber综合征1例肺癌靶向治疗领域最新进展盘点以发作性痴笑为表现的下丘脑错构瘤1例影像学表现为硬脑膜肥厚和多发结节状占位样的肥厚性硬脑膜炎1例报告胃间质瘤盆腔复发转移1例报告骶骨肿瘤患者术中自体血回输致顽固性低血压1例血压106/66正常吗什么情况下需要做冠脉搭桥手术舌根舌苔厚白可以喝枸杞水吗做腹部CT需要多长时间针灸扎错位置会有什么后果血肿穿刺引流术联合硬膜外血贴术治疗伴硬膜下血肿及静脉性梗死的自发性低颅压综合征1例九个月宝宝便秘怎么办快速治疗乌灵胶囊吃多久治失眠两岁男宝宝身高体重标准是什么关于心绞痛的治疗方法低血压100意味着什么老年人风湿性关节炎的诊断标准风湿热的主要临床症状肾囊肿不能吃什么东西一水和二水结石的区别眩晕有哪些症状?10岁儿童近视眼怎么恢复视力熬夜眼睛肿了怎么办使用药物期间有哪些注意事项蛛网膜囊肿怎么去除人流后肚子疼腰痛是怎么回事?老人的手机铃声该如何设置胰岛素的用法及用量什么是木耳菜湿疹的常见症状有哪些干槽症治疗方法微晶导入到底有没有功效胳膊肘疼是怎么回事,用什么药小针刀治疗疱疹性神经痛效果怎样哮喘症状及表现支气管炎刮痧刮哪里肺气肿的危害和并发症慢阻肺能吃海参吗自身如何判断是否患了慢阻肺支气管扩张术后饮食注意事项胸膜炎的检查病毒感冒药哪个效果好感冒有痰是不是快好了肺支原体阳性是什么意思高钾血症怎么治疗小儿血小板高是怎么回事骨髓增生异常综合征的症状有哪些脚底硬皮病如何治疗大便都是黑色是怎么回事急性心梗的护理措施心肌致密化不全能要孩子吗过敏性紫癜是什么症状口臭和幽门螺杆菌有关系吗治疗脑型疟疾的首选药物怎么用蒲公英去淋巴硬块女人补肾最简单的方法急性呼吸窘迫综合征怎么办慢性胰腺炎如何诊断小儿三度房室传导阻滞可以治好吗房性心动过速中医能治吗桥本氏甲状腺炎查血需要空腹吗什么是气管镜全麻百日咳最好的治疗方法老年人增强抵抗力吃什么慢性肾衰竭治疗费用反流性食管炎咳嗽怎么治疗房间隔缺损修补术治疗疗效怎么样肺结节手术后咳嗽怎么回事肾积水的症状是什么尿结石怎么检查结肠癌中晚期选择什么治疗方法直肠癌晚期能活多久甲状腺癌纵隔转移预后脑出血10ml算不算严重胶质瘤术后一年复发能活多久脑出血多长时间可以坐起来颅咽管瘤术后电解质紊乱是怎么回事显微镜下精索静脉曲张手术的优势左胸刺痛深呼吸时加重的原因胸腔胸腹水伴随腹痛是什么原因什么是胸腺瘤动脉硬化闭塞症饮食注意肛瘘在什么位置脑癌能治好吗冠状动脉钙化怎么回事冠状动脉异常起源于肺动脉怎么治疗右侧颈动脉斑块形成应注意什么心脏卵圆孔未闭的症状,需要治疗吗肛门坠痛有便意怎么回事直肠腺癌不化疗可以吗长结肠多发息肉怎么办肝癌介入术后进展没进展看什么指标颈动脉支架成形术后多久能恢复狐臭手术忌口抑郁症嗜睡是什么阶段髌骨骨折手术多少钱男变女的手术怎么做注射美容针剂的副作用冰点脱毛后就洗澡了怎么办孔源性视网膜脱离术后的注意事项慢性咽炎滤泡增生吃什么药什么是蓝芩口服液肚子疼痛怎么缓解结核病筛查有必要吗成人可以注射乙肝疫苗吗拔智齿几天排除干槽症下唇粘液腺囊肿可自愈吗疱疹病毒感染可以根除吗肾积液和肾积水的区别老年人补充叶酸要慎重吗乙肝的饮食禁忌肺癌根治术的手术指征乳腺癌三阳是什么概念腹腔镜子宫肌瘤剔除术的适应症盆腔积液喝中药要多久脚掌干裂中医治疗坏疽性胆囊炎合并胆囊-十二指肠内瘘1例茶叶蛋的营养价值IgA肾病可以喝黄芪当归水吗心衰bnp35000怎样才能降下来头撞伤后需要打破伤风吗?牙龈炎牙周炎中医治疗方法是什么如何把握人际关系的最佳距离阴茎短小怎么办气管食管瘘患儿在全身麻醉下行胃镜联合纤维支气管镜检查手术1例抑郁症是精神病吗肾癌切除术后肺转移是怎么回事中暑怎么办超声体检报告显示胰腺因气体干扰显示不清是怎么回事急性酒精中毒对人体的致命性危害表现在哪些方面室性心动过速的治疗方法是什么常染色体隐性遗传会发病吗小孩有点咳嗽能打预防针吗半夜胸闷喘不过气是哮喘吗吹气球对肺功能的好处肺心病有什么症状胸膜炎可以自愈吗慢性支气管炎的治疗方法有哪些治疗慢性支气管炎的中成药有哪些细菌性感冒发烧反复几天孩子为什么老是支原体感染糖尿病肾病透析指征糖尿病肾病的中医辨证论治肥胖会导致月经不调吗白血病流鼻血是单侧还是双侧缺铁性贫血需要补多久服用艾拉莫德片会贫血吗贫血性心脏病严重吗血小板低能吃阿司匹林吗如何避免尿毒症尿毒症可以吃西葫芦吗急性肾功能衰竭能治吗肾损伤和肾衰竭的区别肾病综合征和肾衰区别干燥综合征五年没吃药会复发吗白塞氏病大部分能治愈吗室上速手术什么时候做轻度胃出血能自愈吗口臭口苦口干是什么原因甲状腺结节怎么分类甲状腺结节和淋巴结节都有怎么办水痘结痂了还要忌口吗怎么判断自己是不是脾胃虚寒原发性血小板增多症需要做什么检查格林巴利综合征临床表现气管切开怎样锻炼吞咽气胸引流多久可以拔管耳石性眩晕吃什么药窦性心动过缓会自愈吗朗格汉斯细胞组织细胞增生症化疗后生存率什么是胰岛素抵抗综合征做肠镜前需要做什么胃支架手术后多长时间可以恢复右侧输尿管下段结石并右肾积水严重吗高位性肠梗阻的呕吐特点带着T管做胆道镜疼吗低级别胶质瘤怎样会复发脑积水术后多久调压一次怎么治疗前列腺增生症包茎和包皮过长有什么区别冠状动脉堵塞怎么办儿童尿道下裂手术是小手术吗

热门推荐

  • 急性髓系白血病活多久欧晋平 / 副主任医师
  • 39岁的男人性功能的标准张志超 / 主任医师
  • 头部不自主震颤是什么病赖光辉 / 主任医师
  • 自身免疫性肝病中西医结合治疗方法付德才 / 主任医师
  • 烟头烫伤瘢痕怎么办陈刚 / 主治医师
  • 口咽癌放疗后的副作用姜锋 / 主任医师
  • 肾上腺嗜铬细胞瘤影像学表现韩毅力 / 副主任医师
  • 小细胞肺癌二期化疗方案吴文娟 / 副主任医师
  • 为何只是左侧耳鸣张滟 / 副主任医师
  • 特发性震颤仪器检查得出来吗崔志强 / 主任医师

专家问答

语音问答

  • 心慌气短按什么穴位
  • 怎么艾灸治疗肾虚
  • 干部“欺上瞒下”的心理分析
  • 如何训练格斗反应速度
  • 盘点那些“祖母级”的美容妙招
  • 如何学会拒绝他人
  • 如何把握人际关系的最佳距离
  • 讨好型人格的表现
  • 如何调节消极的情绪心态
  • 孤僻的性格是怎么造成的 如何改变孤僻的性格